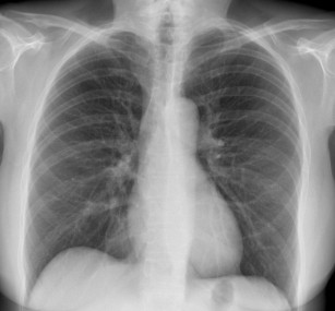
Radiografie Plamani Sanatosi Imagini

De 14 ani sunt bolnava am fost operata cu cancer de col uterin am de toate dar pana acum am avut plamanii sanatosi recent am facut examen petct acolo este specificat ca am plamanii expandati este adevarat ca respir greu obosesc inima mi sare de multe ori si in repaus cel mai rau este insa ca fac des febra atunci am si o.
Radiografie plamani sanatosi imagini. Nu le ignorati caci poate fi cancer bronsita cronica obstructiva astm sau alte infectii respiratorii. Vezi cele mai relevante poze despre plamani si citeste cele mai bune articole de pe acasa ro pe aceasta tema. Rostul acestor ţigări care se sting dacă nu tragi din ele e de a preveni incediile. Aceste tipuri de cancer de obicei sunt identificate întâmplător atunci când o radiografie toracică este realizată pentru un alt motiv.
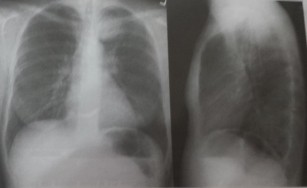
Oasele absorb cel mai mult radiatiile de aceea ele apar pe radiografie alb intens. O radiografie toracica ofera imagini ale inimii plamanilor cailor respiratorii vaselor de sange coloane. Daca la unele persoane aceste opacitati sunt mai mari insa cu contur net nu trebuie sa le socotim ca patologice intrucat opacitatile hilare pot varia ca marime de la un individ la altul. Opacitatile hilare longitudinale si circulare sunt imagini normale ce se gasesc la toti oamenii sanatosi.
E ceva in neregula ma doare plamanul. Se aude adesea in randul oamenilor o vaicareala care suna cam asa. Un vaccin in locul medicamentelor care scad colesterolul. Bronhiile proiectate ortoroentgenograd pot fi.
Până la un sfert din persoanele cu cancer pulmonar pot sa nu aibe simptome. O radiografie toracica ofera imagini ale inimii plamanilor cailor respiratorii vaselor de sange coloan poze boli de plamani iata cele mai relevante poze despre boli de plamani de pe acasa ro poza. Din 17 noiembrie 2011 pe piaţa europeană vor putea fi vândute doar ţigări cu tendinţă redusă de aprindere adică cele care se sting singure dacă nu sunt fumate activ informează autoritatea naţională pentru protecţia consumatorilor. Ei bine zicerea asta nu prea e adevarata fiindca.
Inima diafragmul si celelalte tesuturi din torace absorb si ele radiatiile realizand diferite nuante de alb. Cancerul la plamani pulmonar simptome. Plamanii care sunt plini cu aer vor aparea pe radiografie in mod normal ca niste umbre intunecate. Multa stima domnule profesor m ati diagnosticat acum 25 de ani cu bpoc forma severa m ati invatat sa ma tratez dar mai ales sa raman activ nnu am fumat niciodata acum am 46 de ani si conduc un liceu va rog ajutati ma sa i ajut pe liceeni sa se lase de fumat prin metode si materiale moderne de informare cu impact mare asupra lor pliante filme povestiri adevarate astept o veste la e.